Memang selalunya peniaga akan menutup makanan menggunakan stapler pada pembungkus kerana senang dilakukan.
Walaupun perkara itu nampak mudah, namun ia boleh dikategorikan sebagai perkara yang merbahaya terutama sekali kepada kanak-kanak jika ibu bapa tidak peka dengan perkara tersebut.
Bahkan, Public Health Malaysia turut berkongsi satu keadaan yang tidak diingini berlaku oleh mana-mana ibu bapa.
Seorang kanak-kanak perempuan dirujuk ke pakar pergigian kerana mengalami sakit dan bengkak digusi.
Selepas membuat pemeriksaan, keputusan menunjukkan gusi pesakit tersebut bengkak dan bernanah.
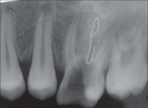
Imbasan X-Ray menunjukkan terdapat imej yang gelap yang menunjukkan kehadiran bendasing di dalam nanah tersebut.
Bengkak tersebut dicucuk dan air nanah di keluarkan. Rupanya terdapat dawai stapler yang tertusuk di celah gigi sehingga ke akar gigi pesakit.
Ini adalah contoh kejadian yang tidak diingini akibat kehadiran bendasing didalam makanan.
Untuk mencegah kejadian berisiko terjadi,
- Elakkan membeli makanaan yang di bungkus dan ditutup dengan menggunakan stapler.
- Pengendali makanan disarankan untuk mengelakkan penggunaan dawai kokot dalam pembungkusan
Dawai stapler ini di anggap sebagai “food hazard” dan tidak sesuai untuk digunakan sebagai kaedah pembungkusan makanan.
Awasi anak-anak, periksa dahulu makanan yang dibungkus dengan stapler sebelum menikmatinya.

kredit era